Βλαισός μέγας δάκτυλος
Τι ορίζεται ως βλαισός μέγας δάκτυλος;
Ως βλαισός μέγας δάκτυλος ορίζεται η προς τα έξω απόκλιση του μεγάλου δακτύλου του ποδιού. Η εξόστωση που προκαλείται αποτελεί μια από τις συχνότερες παραμορφώσεις των κάτω άκρων και είναι γνωστή και ως «κότσι». Συχνά ο βλαισός μέγας δάκτυλος μπορεί να προκαλέσει επιπλέον παραμορφώσεις και συμπτώματα και στα υπόλοιπα δάκτυλα του ποδιού όπως εφίππευση του πρώτου δακτύλου με το δεύτερο.
Ποια είναι τα αίτια πρόκλησής του;
Τα αίτια πρόκλησης του βλαισού μέγα δακτύλου δεν έχουν καθοριστεί με ακρίβεια. Πρόκειται για μια κατάσταση που οφείλεται σε συνδυασμό παραγόντων. Η κληρονομικότητα φαίνεται να είναι ένας βασικός προδιαθεσικός παράγοντας εκδήλωσής του, καθώς έχει παρατηρηθεί η εμφάνισή του σε γυναίκες της ίδιας οικογένειας. Εκτός από την κληρονομικότητα, κάποιοι επιπλέον ενοχοποιητικοί παράγοντες για την εμφάνιση του βλαισού μέγα δακτύλου είναι οι παρακάτω:
- Χρήση ακατάλληλων και στενών υποδημάτων
- Συγγενείς παθήσεις κάτω άκρων
- Ανατομικοί παράγοντες (π.χ. μακρύ 1ο μετατάρσιο)
- Πλατυποδία
- Ρευματοειδής αρθρίτιδα, Ψωριασική αρθρίτιδα, Ουρική αρθρίτιδα
- Χαλαρές αρθρώσεις
- Νευρογενείς διαταραχές
- Παχυσαρκία
Ποιοι ασθενείς είναι πιο επιρρεπείς στην εμφάνισή του;
Το γυναικείο φύλο είναι πιο επιρρεπές στην εμφάνιση του βλαισού μέγα δακτύλου. Βάσει μελετών εμφανίζεται 9 φορές συχνότερα στις γυναίκες εν συγκρίσει με τους άνδρες. Ένας παράγοντας που ίσως κάνει τις γυναίκες πιο επιρρεπείς είναι η συχνή χρήση στενών ψηλοτάκουνων παπουτσιών. Επίσης, αρκετά συχνά εμφανίζουν την πάθηση και οι χορευτές μπαλέτου, εξαιτίας της πίεσης που ασκείται στην περιοχή. Τέλος, όσο αυξάνεται η ηλικία αυξάνεται και η πιθανότητα εμφάνισης της πάθησης.
Με ποια συμπτώματα εμφανίζεται ο βλαισός μέγας δάκτυλος;
Το βασικότερο σύμπτωμα του βλαισού μέγα δακτύλου είναι η εκδήλωση έντονου πόνου, εντοπισμένου στο σημείου του οστού που προεξέχει (εξόστωση), καθώς αυτό έρχεται σε επαφή με την εσωτερική επιφάνεια του παπουτσιού. Σταδιακά εκδηλώνεται τοπικά φλεγμονή με παρουσία οιδήματος, ερυθρότητας και σκληρίας. Με την επιδείνωση του πόνου υπάρχει δυσκολία κατά τη βάδιση ενώ ο ασθενής δυσκολεύεται να βρει υποδήματα που να μην του προκαλούν ενόχληση.
Με την πρόοδο της παραμόρφωσης εκδηλώνεται αρθρίτιδα στην 1η μεταταρσοφαλαγγική άρθρωση ενώ σε προχωρημένα περιστατικά υφίστανται παραμορφώσεις και τα άλλα δάκτυλα (π.χ. εφίππευση μεγάλου και δεύτερου δακτύλου).
Πώς πραγματοποιείται η διάγνωση;
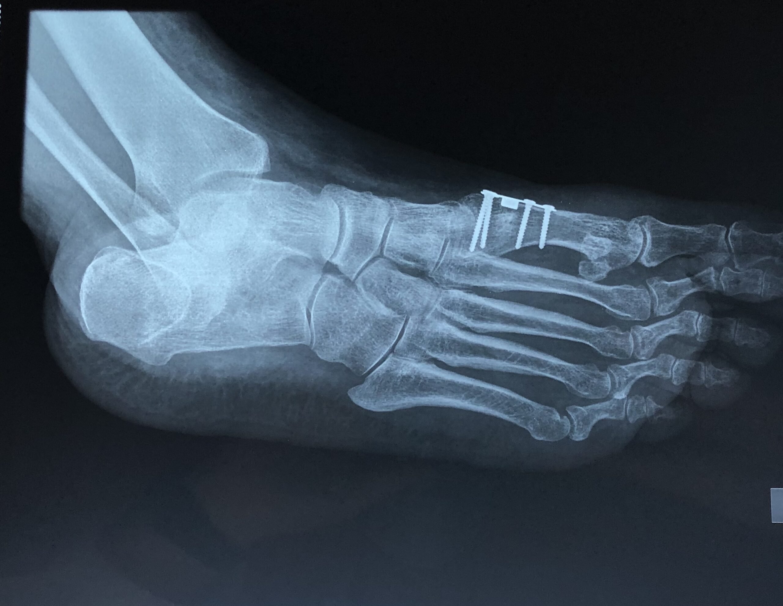
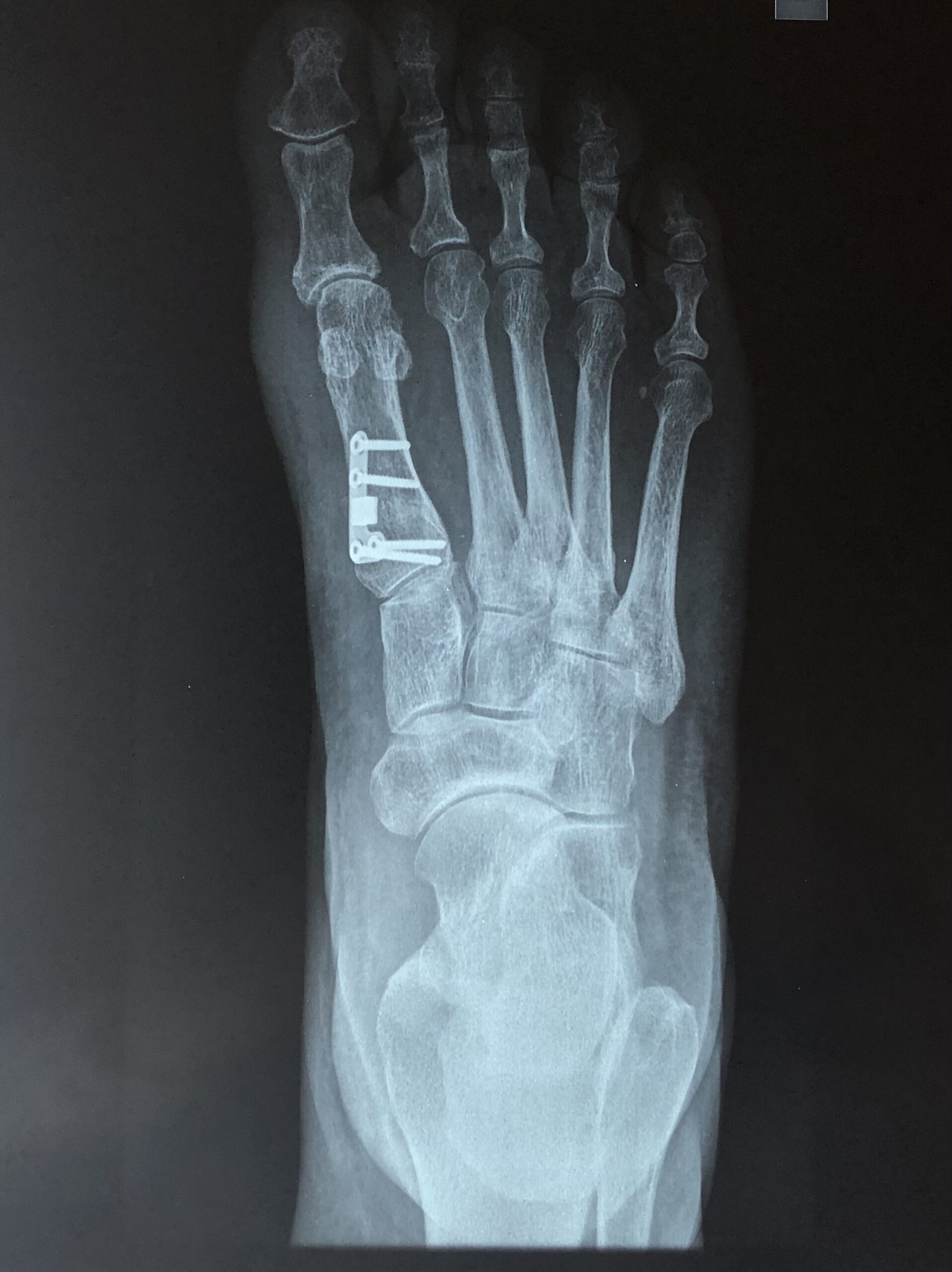
Η διάγνωση της πάθησης πραγματοποιείται εύκολα, καθώς η παραμόρφωση είναι εμφανής ακόμη και στα αρχικά στάδια της πάθησης. Ο θεράπων ορθοπαιδικός προχωρά αρχικά σε μια λεπτομερή λήψη του ατομικού ιστορικού του ασθενούς και στην κλινική εξέτασή του. Παρόλο που η διάγνωση πραγματοποιείται εύκολα μέσω αυτής, ο ακτινολογικός έλεγχος είναι απαραίτητος, για τη σταδιοποίηση της πάθησης (μέτρηση γωνίας βλαισότητας μεγάλου δακτύλου, διαμετατάρσιας γωνίας, γωνίας περιφερικής άρθρωσης μεταταρσίου, κλπ.) Ο καθορισμός του σταδίου είναι βαρύνουσας σημασίας για την επιλογή της κατάλληλης θεραπείας για τον κάθε ασθενή.













Ποια είναι η κατάλληλη θεραπεία;
Η θεραπεία για την αντιμετώπιση των συμπτωμάτων μπορεί να είναι είτε συντηρητική είτε χειρουργική. Στα πρώιμα στάδια της πάθησης εφαρμόζεται η συντηρητική θεραπεία, η οποία περιλαμβάνει:
- Χρήση άνετων υποδημάτων
- Χρήση ειδικών πάτων
- Μαλακά προστατευτικά επιθέματα
- Χορήγηση μη στεροειδών αντιφλεγμονωδών φαρμάκων
- Διατατικές ασκήσεις
Εάν τα παραπάνω μέτρα δεν ανακουφίσουν τους ασθενείς από τα συμπτώματα ή σε περιπτώσεις ασθενών όπου η πάθηση είναι σε προχωρημένο στάδιο, η χειρουργική επέμβαση αποτελεί μονόδρομο.
Έχουν περιγραφεί στην διεθνή βιβλιογραφία πάνω από 130 διαφορετικές χειρουργικές τεχνικές για την διόρθωση του βλαισού μεγάλου δακτύλου. Περιλαμβάνουν επεμβάσεις στα μαλακά μόρια της άρθρωσης (θύλακος, σύνδεσμοι, τένοντες) και στα οστά με διενέργεια διορθωτικών οστεοτομιών (σε διαφορα επίπεδα του πρώτου μεταταρσίου και της εγγύς φάλαγγας του μεγάλου δακτύλου). Η χρήση της πιο κατάλληλης τεχνικής και ο συνδυασμός αυτών καθορίζεται από τον βαθμό της παραμόρφωσης, από την ακτινολογικά της χαρακτηριστικά, αλλά και από τις δραστηριότητες του ασθενούς.
Επεμβάσεις ελάχιστης επεμβατικότητας, όπως είναι για παράδειγμα η διαδερμική τεχνική, μπορεί να χρησιμοποιηθεί για την αντιμετώπιση βλαισού μέγα δακτύλου στις πιο ήπιες παραμορφώσεις.
Οι επεμβάσεις πραγματοποιούνται με γενική ή περιοχική αναισθησία και ο ασθενήςείναι σε θέση να περπατήσει την ίδια ημέρα με τη χρήση κατάλληλων υποδημάτων χωρίς κάποιο επιπλέον βοήθημα. Σταδιακά επιστρέφει στις καθημερινές του δραστηριότητες, απαλλαγμένος πλήρως από τα συμπτώματα.
Εάν ο βλαισός μέγας δάκτυλος εκδηλώνει συμπτώματα που υποβαθμίζουν την ποιότητα ζωής σας, απευθυνθείτε στον έμπειρο Ορθοπαιδικό Χειρουργό-Τραυματολόγο Σπύρο Ξεΐνη. Ο ιατρός είναι εξειδικευμένος στη Χειρουργική κάτω άκρου και ο σχεδιασμός του θεραπευτικού πλάνου πραγματοποιείται πάντοτε εξατομικευμένα. Επικοινωνήστε μαζί μας και κλείστε το ραντεβού σας.