Kάταγμα Jones
Τι ορίζεται ως κάταγμα Jones
Το κάταγμα Jones είναι ένας τύπος κατάγματος στην βάση του 5ου μεταταρσίου. Το 5ο είναι το μετατάρσιο στο εξωτερικό μέρος του ποδιού, αυτό που αντιστοιχεί στο μικρό δάκτυλο. Τα κατάγματα της βάσης του 5ου μεταταρσίου είναι από τα πιο συχνά κατάγματα του άκρου ποδός και μπορούν να συμβούν στον οποιονδήποτε.
Ποια είναι η ταξινόμηση των καταγμάτων της βάσης του 5ου μεταταρσίου;
Ανάλογα με το σημείο εντόπισης τους κατάγματος, καθορίζεται και ο κατάλληλος τρόπος αντιμετώπισής του. Για τον λόγο αυτό είναι σημαντικό να προσδιορίζεται σωστά ο τύπος του κατάγματος. Τα κατάγματα της βάσης του 5ου μεταταρσίου ταξινομούνται σε:
- Κατάγματα ζώνης 1: αφορούν την κορυφή (φύμα) της βάσης του 5ου μεταταρσίου και έχουν καλή πρόγνωση ως προς την πώρωση του κατάγματος.
- Κατάγματα ζώνης 2: εντοπίζονται στην περιοχή μεταξύ της κορυφής και του σώματος του 5ου μεταταρσίου (όπου ενώνονται το 4ο με το 5ο μετατάρσιο). Είναι τα κατάγματα Jones. Η αγγείωση του οστού στο συγκεκριμένο σημείο είναι “προβληματική”. Για τον λόγο αυτό η πιθανότητα μη πώρωσης του κατάγματος είναι αυξημένη.
- Κατάγματα ζώνης 3: εντοπίζονται περιφερικότερα της συνάρθρωσης του 4ου και 5ου μεταταρσίου. Τα συγκεκριμένα κατάγματα αποτελούν συνήθως κατάγματα κοπώσεως και εντοπίζονται κυρίως σε δρομείς.
Κάταγμα Jones: Ποια είναι τα αίτια πρόκλησής του;
Ένα κάταγμα Jones, όπως και κάθε κάταγμα μεταταρσίου, μπορεί να συμβεί σε οποιονδήποτε μετά από μια πτώση ή έναν τραυματισμό. Μεγαλύτερες, όμως, πιθανότητες να υποστούν ένα τέτοιο κάταγμα έχουν όσων οι δραστηριότητες προκαλούν μεγάλες και επαναλαμβανόμενες καταπονήσεις στο πόδι. Αθλητές ή χορευτές των οποίων η δραστηριότητα περιλαμβάνει συχνές αλλαγές κατεύθυνσης, στροφικές κινήσεις του σώματος ή άλματα καθώς τρέχουν, ενήλικες που το επάγγελμά τους απαιτεί πολύωρη ορθοστασία ή βάδιση, ενήλικες με οστεοπόρωση, είναι ομάδες που μπορεί να εμφανίσουν με μεγαλύτερη συχνότητα κάταγμα Jones.
Με ποια συμπτώματα εμφανίζεται ένα κάταγμα Jones;
Τα συμπτώματα που συνοδεύουν ένα κάταγμα Jones είναι τα κάτωθι:
- Πόνος
- Δυσκολία κατά τη βάδιση
- Εκδήλωση οιδήματος
- Ευαισθησία κατά την ψηλάφηση της εξωτερικής επιφάνειας του ποδιού
- Εμφάνιση εκχυμώσεων στην περιοχή του 5ου μεταταρσίου
Πώς πραγματοποιείται η διάγνωση;
Όπως σε κάθε τραυματισμό, η επίσκεψη σε έναν έμπειρο Ορθοπαιδικό είναι απαραίτητη. Αρχικά, ο ιατρός λαμβάνει το ιστορικό του ασθενούς και στη συνέχεια προχωρά στην κλινική εξέτασή του. Στην συνέχεια, μια απλή ακτινγραφία είναι συνήθως αρκετή για τη διάγνωση του κατάγματος. Υπάρχουν όμως και περιπτώσεις όπου για τον εντοπισμό του κατάγματος Jones μπορεί να είναι απαραίτητη η διενέργεια αξονικής ή μαγνητικής τομογραφίας.





Ποια είναι η κατάλληλη θεραπεία ενός κατάγματος Jones;
Κάθε κάταγμα ανάλογα με τον τύπο του, την παρεκτόπιση ή την παρουσία συντριβής μπορεί να αντιμετωπιστεί είτε συντηρητικά είτε χειρουργικά.
Τα συντηρητικά μέτρα αντιμετώπισης του κατάγματος περιλαμβάνουν τα παρακάτω:
- Ανάπαυση
- Παγοθεραπεία
- Επίδεση και ανύψωση του πάσχοντος άκρου
- Ακινητοποίηση του άκρου με γύψο
- Χρήση βοηθημάτων βάδισης (π.χ. πατερίτσες)
- Μη φόρτιση σκέλους
- Φυσικοθεραπεία
Τα κατάγματα Jones, όμως, παρουσιάζουν μια σημαντική ιδιαιτερότητα. Εντοπίζονται ανατομικά σε μία περιοχή με πτωχή αιμάτωση του οστού. Αυτό έχει σαν αποτέλεσμα να παρουσιάζουν υψηλά ποσοστά επανακατάγματος ή και μη πώρωσης του κατάγματος (το κάταγμα δεν “κολλάει”). Τα ποσοστά αυτά αγγίζουν το 1/3 των καταγμάτων Jones που αντιμετωπίζονται συντηρητικά.
Ως εκ τούτου η χειρουργική αποκατάσταση των καταγμάτων Jones είναι η ενδεικνυόμενη θεραπεία εκλογής. Πολύ περισσότερο σε περιπτώσεις αθλητών που επείγονται να επιστρέψουν και πάλι στην αθλητική τους δραστηριότητα.
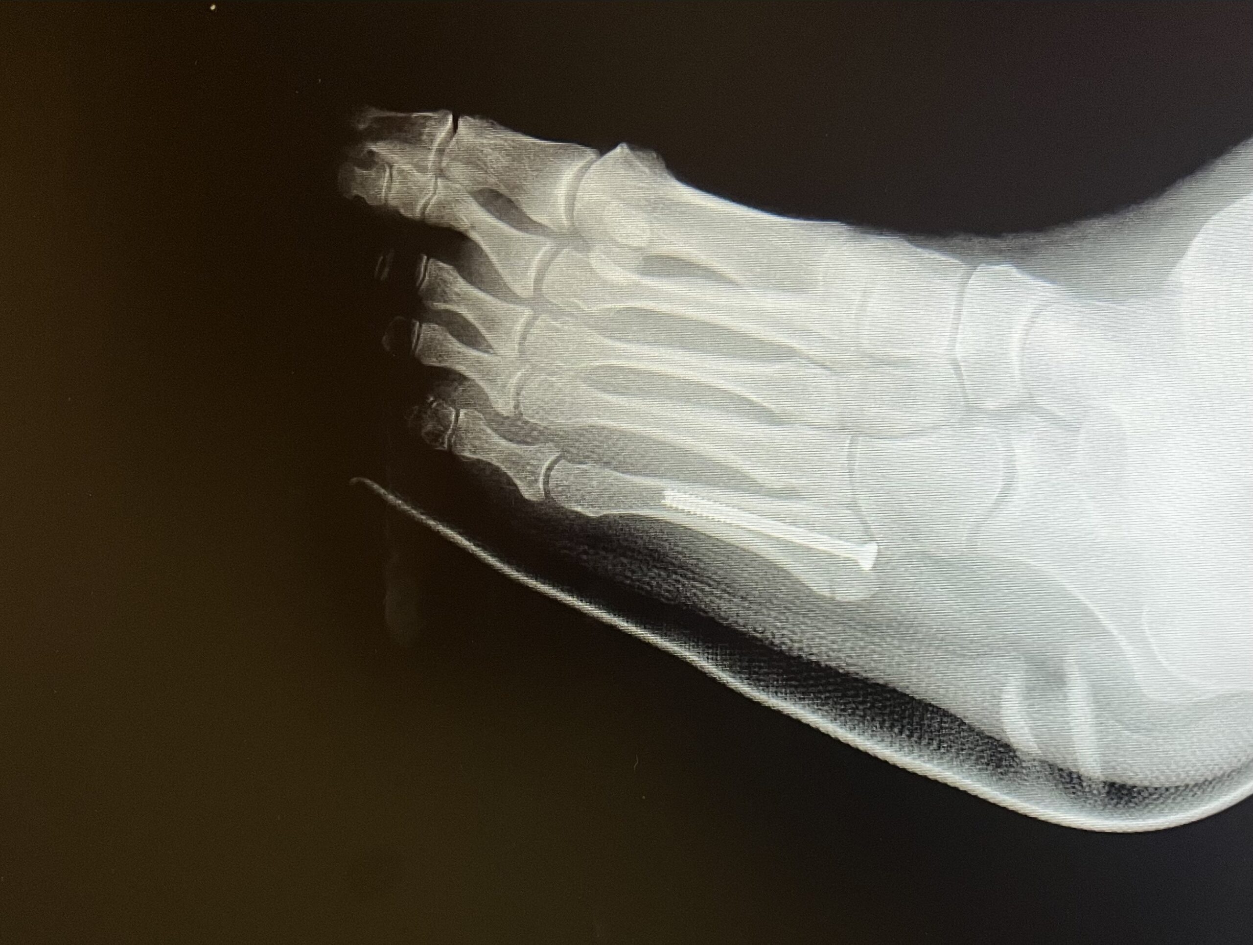
Η μέθοδος οστεοσύνθεσης ενός κατάγματος Jones συνίσταται στην τοποθέτηση ενός ενδομυελικού κοχλία, διαδερμικά. Η επάνοδος του ασθενούς στις καθημερινές και στις αθλητικές του δραστηριότητες επιτυγχάνεται στο μικρότερο χρονικό διάστημα.
Ο Ορθοπαιδικός Χειρουργός-Τραυματολόγος Σπύρος Ξεΐνης έχει αντιμετωπίσει επιτυχώς μεγάλο αριθμό καταγμάτων Jones, εφαρμόζοντας τις πλέον σύγχρονες χειρουργικές μεθόδους. Στόχος του είναι η άμεση κινητοποίηση του ασθενούς και η άμεση επιστροφή στην καθημερινότητά του. Επικοινωνήστε μαζί μας και κλείστε το ραντεβού σας για οποιοδήποτε ορθοπαιδικό πρόβλημα σας απασχολεί.