Κάταγμα Κνημιαίου Plateau
Τι ορίζεται ως κάταγμα κνημιαίου plateau;
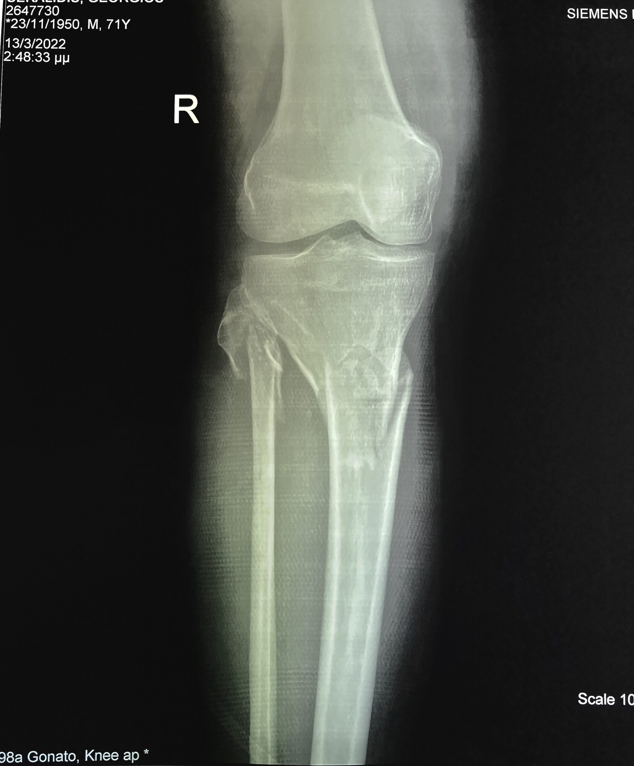
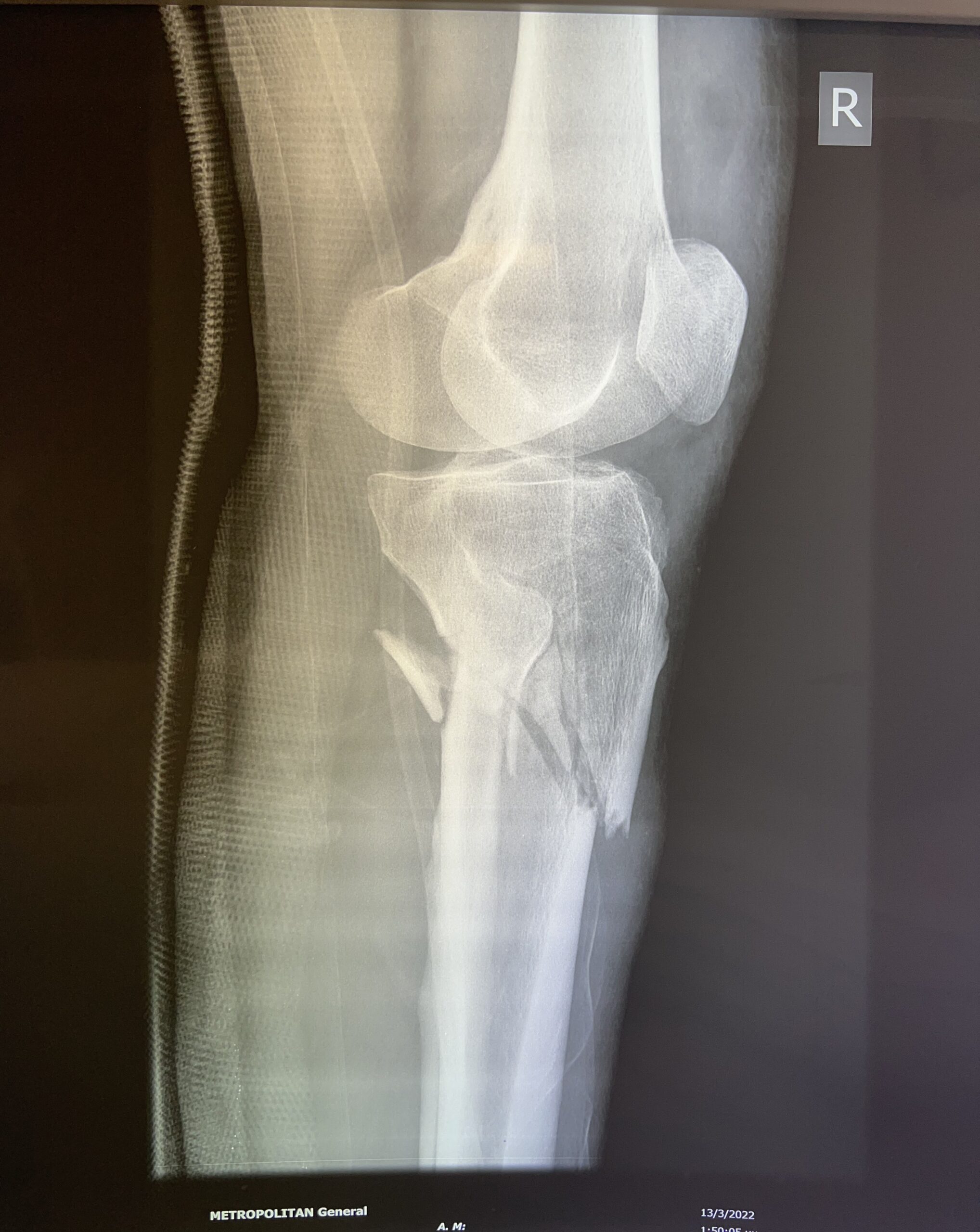
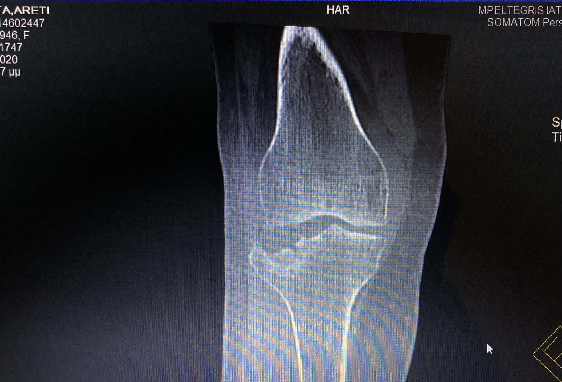
Ως κάταγμα του κνημιαίου plateau ορίζεται το κάταγμα του ανώτερου τμήματος της κνήμης . Το κνημιαίο plateau (πλατώ) είναι το ανώτερο τμήμα του οστού της κνήμης και ανατομικά αποτελείται από τον έσω και τον έξω κνημιαίο κόνδυλο. Μαζί με το κατώτερο τμήμα του μηρού και την επογονατίδα, σχηματίζουν την άρθρωση του γόνατος. Τα κατάγματα στο συγκεκριμένο σημείο είνα σπάνια, καθώς αφορούν μόνο το 1% των συνολικών καταγμάτων και σε αυτά μπορεί να συμμετέχει ο έσω κόνδυλος, ο έξω κόνδυλος ή και οι δύο (αμφοτερόπλευρα).
Ποια είναι τα αίτια πρόκλησής του;
Ένα κάταγμα κνημιαίου plateau προκαλείται συνήθως από τραυματισμούς υψηλής ενέργειας, όπως για παράδειγμα τα τροχαία ατυχήματα ή πτώσεις από μεγάλο ύψος. Επίσης κατάγματα κνημιαίου plateau μπορεί να συμβούν και κατά τη διάρκεια αθλητικών δραστηριοτήτων, όπως είναι το ποδόσφαιρο.


Στις μεγαλύτερες ηλικίες για την εκδήλωση των καταγμάτων κνημιαίου plateau ενδέχεται να ευθύνονται παθήσεις των οστών, όπως για παράδειγμα η οστεοπόρωση. Σε αυτές τις περιπτώσεις, το κάταγμα ενδέχεται να προκληθεί ακόμη και από τραυματισμούς χαμηλής ενέργειας.
Ταξινόμηση καταγμάτων κνημιαίου plateau
Η ταξινόμηση που χρησιμοποιείται ευρέως από τους Ορθοπαιδικούς για τα κατάγματα του κνημιαίου plateau είνα αυτή του Joseph Schatzker:
Τύπος I : Κάταγμα έξω κνημιαίου κονδύλου
Τύπος II : Κάταγμα έξω κνημιαίου κονδύλου με εμβύθιση της αρθρικής επιφάνειας
Τύπος III : Εμβύθιση της αρθρικής επιφάνειας του έξω κνημιαίου κονδύλου
Τύπος IV : Κάταγμα έσω κνημιαίου κονδύλου
Τύπος V : Aμφοτερόπλευρο κάταγμα (έσω και έξω κνημιαίου κονδύλου)
Τύπος VI : Κάταγμα έσω και έξω κνημιαίου κονδύλου με επέκταση στη διάφυση της
κνήμης
Η ταξινόμηση των καταγμάτων είναι χρήσιμη για την επιλογή της μεθόδου θεραπείας (συντηρητική/ χειρουργική) και την επιλογή των κατάλληλων υλικών οστεοσύνθεσης (χειρουργική θεραπεία).






Με ποια συμπτώματα εμφανίζεται ένα κάταγμα κνημιαίου plateau;
Τα συμπτώματα που μπορεί να εμφανίσει ένας ασθενής με κάταγμα κνημιαίου plateau εξαρτώνται από τον τύπο του κατάγματος. Όμως, σε γενικές γραμμές το κάταγμα κνημιαίου plateau εμφανίζει τα παρακάτω συμπτώματα:
- Πόνος στην άρθρωση του γόνατος
- Αδυναμία φόρτισης σκέλους
- Αδυναμία βάδισης
- Αίσθημα αστάθειας της άρθρωσης
- Οίδημα
- Παρουσία εκχυμώσεων/αιματώματος
- Μούδιασμα
- Παραμόρφωση γόνατος
Πώς πραγματοποιείται η διάγνωση;
Η διάγνωση ενός κατάγματος κνημιαίου plateau πραγματοποιείται από έναν έμπειρο Ορθοπαιδικό. Αρχικά η λήψη ενός λεπτομερούς ιστορικού και η κλινική εξέταση του ασθενούς είναι απαραίτητα. Στην συνέχεια για την διάγνωση αλλά και την ταξινόμηση του κατάγματος είναι υποχρεωτική η διενέργεια ακτινολογικού ελέγχου. Ο έλεγχος αυτός περιλαμβάνει απλές ακτινογραφίες (φας, προφιλ και λοξές) ενώ πολλές φορές απαιτείται περαιτέρω διερεύνηση με αξονική τομογραφία για την πλήρη κατανόηση της μορφής του κατάγματος και τον σωστό προεγχειρητικό σχεδιασμό.
Κάταγμα κνημιαίου plateau & Θεραπεία
Ένα κάταγμα κνημιαίου plateau ανάλογα με τη σοβαρότητά του μπορεί να αντιμετωπιστεί είτε συντηρητικά είτε με χειρουργική επέμβαση. Σε κάθε περίπτωση τα κατάγματα κνημιαίου plateau θα πρέπει να αντιμετωπίζονται από εξειδικευμένους ορθοπαιδικούς, αποφεύγοντας έτσι κάποια μεταγενέστερη κινητική αναπηρία ή την εκδήλωση μετατραυματικής αρθρίτιδας.
Η συντηρητική θεραπεία εφαρμόζεται σε απαρεκτόπιστα κατάγματα και περιλαμβάνει ακινητοποίηση του πάσχοντος σκέλους με κηδεμόνα. Ο ασθενής παρακολουθείται τακτικά από τον ορθοπαιδικό, ελέγχοντας την πώρωση του κατάγματος και προτείνεται η σταδιακή φόρτιση του σκέλους.
Σε κατάγματα του κνημιαίου plateau με μεγάλη συντριβή, με εμβύθιση της αρθρικής επιφανειας ή σε ασθενείς με αθλητική δραστηριότητα συστήνεται η χειρουργική αντιμετώπιση. Αυτή συνίσταται στην ανοικτή ανάταξη του κατάγματος και την εσωτερική οστεοσύνθεση του (τοποθέτηση πλάκας και βιδών), την τοποθέτηση εξωτερικής οστεοσύνθεσης ή στον συνδυασμό μεθόδων. Σε επιλεγμένα περιστατικά μπορεί να γίνει η ανάταξη του κατάγματος υπό αθροσκοπικό έλεγχο.
Η κινητοποίηση του ασθενούς είναι άμεση, όμως για την πλήρη κινητικότητά του σκέλους είναι απαραίτητο να υποβληθεί ο ασθενής μετεγχειρητικά σε ένα ειδικό πρόγραμμα φυσικοθεραπείας.





Τα κατάγματα κνημιαίου plateau χρήζουν άμεσης αντιμετώπισης από έναν καταρτισμένο Ορθοπαιδικό. Ο Ορθοπαιδικός Χειρουργός-Τραυματολόγος Σπύρος Ξεΐνης εφαρμόζει τις πιο καινοτόμες μεθόδους και στοχεύει στην άμεση αποκατάσταση των ασθενών του. Επικοινωνήστε μαζί μας και κλείστε το ραντεβού σας.